Wie is Milling Master?
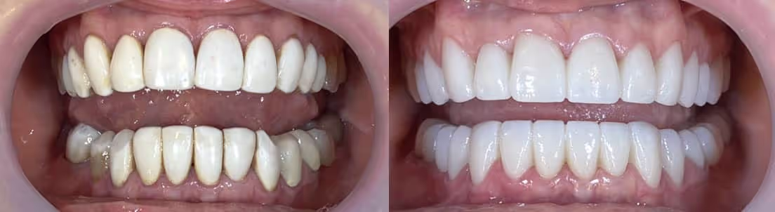
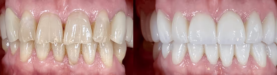
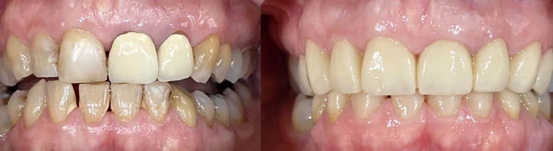
Milling Master is en digital tandtechnisch laboratorium, gespecialiseerd in het leveren van kroon & brugwerk, protheses en intra-orale scanners. Met een snelle levering binnen 72 uur helpt Miling Master tandartsen efficiënter te werken en patiënten sneller te behandelen.
Het laboratorium accepteert bestanden van vrijwel alle intra-orale scanners en biedt gratis training en ondersteuning. Dankzij hoogwaardige materialen zoals VITA YZ ST Multicolor garandeert Milling Master esthetische en duurzame restauraties.
Met het snel leveren van 2.000 vervaardigde kronen per maand is Milling Master een betrouwbare partner in de digitale tandtechniek.





